
Not everyone knows which is arthrosis, because of that people are confused in treatment methods and do not understand the principles of pathology diagnosis.Arthrosis is a severe dystrophic violation that causes a cartilage tissue lesion in the intraunticular cavity.The complexity of therapy is associated with irreversible processes, cannot be achieved in the modern drug, but the severity of symptoms can be reduced and the progression of pathology can slow down.With proper treatment, a person continues the usual lifestyle.
What is arthrosis?
Similarly, it is simpler that it is for disease arthrosis disease of joints that cause the imminent of amplitude to move and pain.At the first phase of damage, there is no manifestations, they have no light seriousness and washed.Gradual, pathology advances, this facilitates age - deleted changes in the body, stress, injuries, etc.According to statistical data, about 80% of the population older than Arthrosis.
The arthrosis of the wrist is developing, initially only affects the hyaline cartilage, and then spreads on the bone, includes a Sinovian shell, muscles and an integral capsule.In the first or early stage of arthrosis, lesions are a little manifested: small pain after hard work, swelling, redness of the skin.Due to ignoring unpleasant sensations, the wrist is deformed, lit, brings heavy pain, their peak falls in the morning.The disease is characterized by a disappearance of pain after the development of the common.If not treated, the person completely loses the mobility of the wrist.

There is a primary and secondary form of arthrosis.Pseudo-Arthrosis (Neorors) also differs - do not know many people what is what is, because it is formed less often than other varieties.Neoarthrosis is a false wrist, so the pilot tissue is increasing in the unusual place where the damage is obtained.It is difficult to treat, mostly surgical.
There is pathology due to the disturbance of regenerative function, immunity or mechanical damage.Due to the different causes of cartilage, it becomes thinner.In normal condition, the cartilage fabric receives a sufficient recovery nutrition, but after excessive physical effort or due to the violation of metabolic processes, fabrics do not have time to regenerate.In the first phase, common mobility remains.Considering what arthrosis is as a definition, it is worth deepening in more detail in the development of pathology.
Arthrosis development mechanism, its species
Many varieties of arthrosis develop according to similar scheme:
- The primary lesion affects Hijalin cartilage.In the case of circulatory disorders, there is a pathological deterioration of power.It is the first step or cause, which can reach arthrosis.
- Pathologies of hyaline coatings.The cartilage fabrics leads to replacement of pathological tissues - bone structures.
- Anomal growth appears on cartilage - osteophytes.
- Precedent violation of the natural anatomy of cartilage and bones causes overload of healthy cartilage areas.Destruction of articulated tissues without treatment is constantly progressing and leading to disability.
When the degree of disease increases, pathological processes are still worse.In the end, all Hijalin cartilage was destroyed.
The last degree of disease leads to:
- Involvement in the pathological process of bones, below and above cartilage surfaces;
- Irritation of common shell, limiting mobility, leading to disability 2 degrees;
- Increased capsule density;
- Decrease in the gap in the jazer compound, which becomes noticeable in the picture.The injury phase determines the diagnostic tantgenologist.Patient feels complexity or inability to completely correct and bend a limb;
- Common deformation, cartilage acquires an irregular form, causing curvature;
- Deterioration in the patient's condition with complete wrist destruction.
Phases of arthrosis
Articulated disease has 3 phases of development:

- 1 degree.Morphological disorders have already begun, but they are not yet noticeable.Pathology generally affects the state of the sinue fluid, which is even worn out by cartilage with nutrients, reducing the tightness of cartilage.The load on the joints causes inflammation and pain.
- 2. Phase.Due to the lack of supply, the necessary cartridges are destroyed, the surface of the cartilage is formed growth.Pains acquire a more pronounced character, amplifying after a long vacation, eliminated with small physical work.The pain is accompanied by inflammation.Muscles are outstretched, leading to weak or average damaged motor functions.
- 3 degrees.There are often pain, it is difficult to move a limb due to changes in the wrist.The lesions are extensive, become noticeable for a naked look.There was a common place deformation, the affected area of the swollen and becomes red.The line axle is disturbed, leading to the complexity of movement.Pathological changes cause ligament shortening.Subluisha and contracts appear and contracts.The adjacent muscles are shortened or outstretched, from which the contractile function is weakened.
Causes and risk factors for the development of arthrosis
The causes of joint arthrosis differ depending on the form of pathology.Deformation of the arthrosis of the affected joint, ankle joints and armrests are sometimes developed without noticeable causes, it is possible to discover with a doctor, a specialist in rheumatology.If the problem is preceded by visible pathologies, the disease is called primary.The secondary form of injury is mainly diagnosed, may cause different countries.
Main reasons for development:
- Mechanical damage: Dislocations, fractures, stretching, meniscus injuries;
- Number of endocrine disorders related to immunity failures;
- Metabolism pathology;
- dysplasia (innate anomalies of articulated tissues);
- The joint inflammation is suffered;
- Travelogues leading to high joint mobility and weakening ligaments.
The patients with arthrosis most often encounter the disease due to predisposition factors:
- Age-relefined changes;
- Light weight and increased BMI.High load on the joints leads to rapid wear for joints;
- Lack of useful substances;
- Excessive load on the joints.The reason is intense training, sports, difficult physical work;
- Heavy working conditions or incorrect access to sport.If there is a history of the genetic tendency for damage, joint injury or similar diseases, it is important to adhere to a special training program, avoiding traumatic and severe exercises;
- A postoperative recovery period or portable complex operations associated with the spot of a large share of affected fabrics.Such countries negatively affect the smoothness and strength of cartilage, the load should be minimized;
- Genetic tendency, arthrosis is more commonly diagnosed in patients who have relatives with the same pathology;
- Stage of Postmenopause, occurs in women for about 50 years, is associated with changes in the endocrine system;
- Destructive effect of toxins;
- Bad environmental protection in the region of residence;
- Frequent wrist damage, sometimes microcracks do not appear for a long time;
- hypothermia;
- Pathology of the lumbar and throat part of the spine.
Primary arthrosis

The primary arthrosis was formed independently, ie without the influence of any internal or external causes.The defeat develops through the hyaline cartilage quite slowly.It is rarely diagnosed, only 3-5% of all cases.
Secondary arthrosis
Secondary arthrosis is most often revealed in the order of 95-96% of cases.They provoke any of the above pathologies.
Signs and symptoms of arthrosis
Disease manifestations differ slightly depending on localization, more often signs are reflected in the knees, shoulders and hooks, due to high loads.
Mainly appeals are descended to:
- Pain.They have low weight in the initial phase, and the deterioration of the sensation condition is amplified.In the beginning, the joints were injured only after they woke, after light heat, the sensation disappear.Over time, pain appear at night, they are largely bothered during and after extended walking, running, etc.In the last stage, pain syndrome is constantly following a person;
- Limited movement amplitude.The strength of the action indicates anatomical changes in the structure.It is initially manifested in the morning, then the daily movements are limited.In order not to cause a deterioration, the work must be diverse and light, otherwise the patient will not be able to detect and squeeze over time.Over time, there is a risk of contracting, from which a person loses motor capacity;
- The crown during the movement - belongs to non-specific arthrosis manifestations.The disease is characterized by the occurrence of crumples in one compound (except polytrose), accompanied by discomfort, pain and limited actions.The nature of the electricity is wavel - initially manifested poorly, gradually increased, but in 3 phases disappear;
- swelling with redness.It is localized near a sick compound, it indicates the inflammatory process and the progress of the disease.The doctor understands that it is affected by the Sinovian shell, this causes liquid accumulation and increased pain;
Deformations of the limb.It appears in the neglected form of the disease, indicates full destruction of cartilage and the appearance of osteophytes.In this state, the pressure on the joints at the top and down increased, from which curvature can affect the entire limb.
It is important to remember that bone deformation is often confused by corn.The symptom is poorly dangerous only at first sight, but leads to serious consequences.
Complications
Conservative methods of therapy are used for treatment.If they are inefficient or the patient ignored the doctor's recommendations, there is a risk of consequences.
Possible complications:
- The wrist was completely destroyed;
- UMB is immobilized, any movements become extremely difficult;
- Intervertebral hernias;
- disability;
- Strong deformation of the wrist or whole limb.
Diagnosis of arthrosis
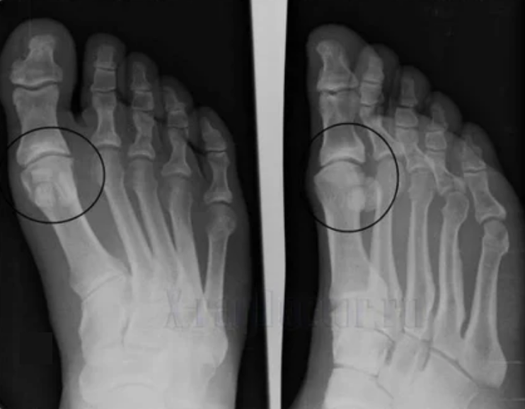
To make a diagnosis, rheumatologists study the patient's complaints and prescribe the X -Ray examination.The most common radiography is used in 2 projections.The doctor looks at the presence of dystrophic disorders in the hyaline wrists of cartilage and bones.If the articular gap is reduced, bones are deformed or flattened, there are cystic formations on the surface of the cartilage, osteofits are obvious signs of arthrosis.During the inspection, Arthrosis indicates the instability of the joint: OSA limbs and subbruxation is disturbed.

Often the X -Ray image is unable to give complete information about the condition of the wrist.For a more detailed study, calculated tomography is prescribed, it is effective for bone testing.The MRI is more commonly used to study soft tissues.
During diagnosis, practically involving other experts who will help determine the root cause of pathology.They often resort to consultations of hematologists, endocrinologists, gynecologists, orthopedic.
Modern treatment
There are hundreds of ways of arthrosis therapy, but they all descend to numerous methods:
- Treatment of medicines.The main task is to fight symptoms and prevent further development of violations.Most often, the analgesics are used to mitigate pain, non-atein -infalmatur medications for the fight against inflammation, hormonal medicines are prescribed for severe pain and acute inflammation.Each course is based on hondroprotectors that protect cartridges from destruction, natural substances are used for their production;
- Physiotherapy.Increases drug efficiency, fights with inflammation, relieves symptoms, speeds up the tissue regeneration.The most commonly used ultrasonic, electric, magnetic, laser therapy.This includes both mud baths, applications with natural materials, radron baths;
- Medical physical education.It is also useful as prevention and facilitation of condition.After the correct physical exercises, it is possible to completely remove the pain.It is useful to visit the pool, switch on in yoga and often walk;
- Hand therapy, massage will help treat disease, because they contribute to the prevention of the curvature of the joints.After injuries, the handheld therapist can directly straighten the wrist, preventing his fixation in the wrong position.After a massage, a muscle tone has improved, blood circulation is accelerated;
- Proper nutrition.A healthy diet will help enrich the body to nutrients for cartilage and reduce body weight.Great mass increases joint spending;
- The treatment Sanatorium-Resort will strengthen joints.Within healing, saloria are offered balneotherapy, exercise therapy, physiotherapy procedures, etc.;
- Non-traditional therapy.For treatment of arthrosis, huts, natural, afh- and herbal medicine, as well as acupuncture and various national recipes;
- Surgical intervention is the only way to return to the usual life in the third phase of the disease.EndoProsthetics allows you to replace the patient cartilage with implant.The only lack of operation is high costs.One proceedings are sufficient in 15-20 years.
Preventive measures
So the art arthrosis does not bother in old age, stalls:
- maintain a healthy lifestyle;
- Prevent strong loads;
- Follow your diet;
- exclude bad habits;
- Execute gymnastics per day;
- Follow the weight.
Arthrosis is a dangerous disease that is much easier to prevent than to cure.With timely search for doctors and compliance with treatment rules, the patient will long be able to maintain a familiar lifestyle.The lack of therapy and self-determination causes a rapid deterioration of diseases and at the end of the disability.























